🦷 Ultimate Smile Makeover Reveal! Watch the Magic of Teeth Filling

🦷 Ultimate Smile Makeover Reveal! Watch the Magic of Teeth Filling

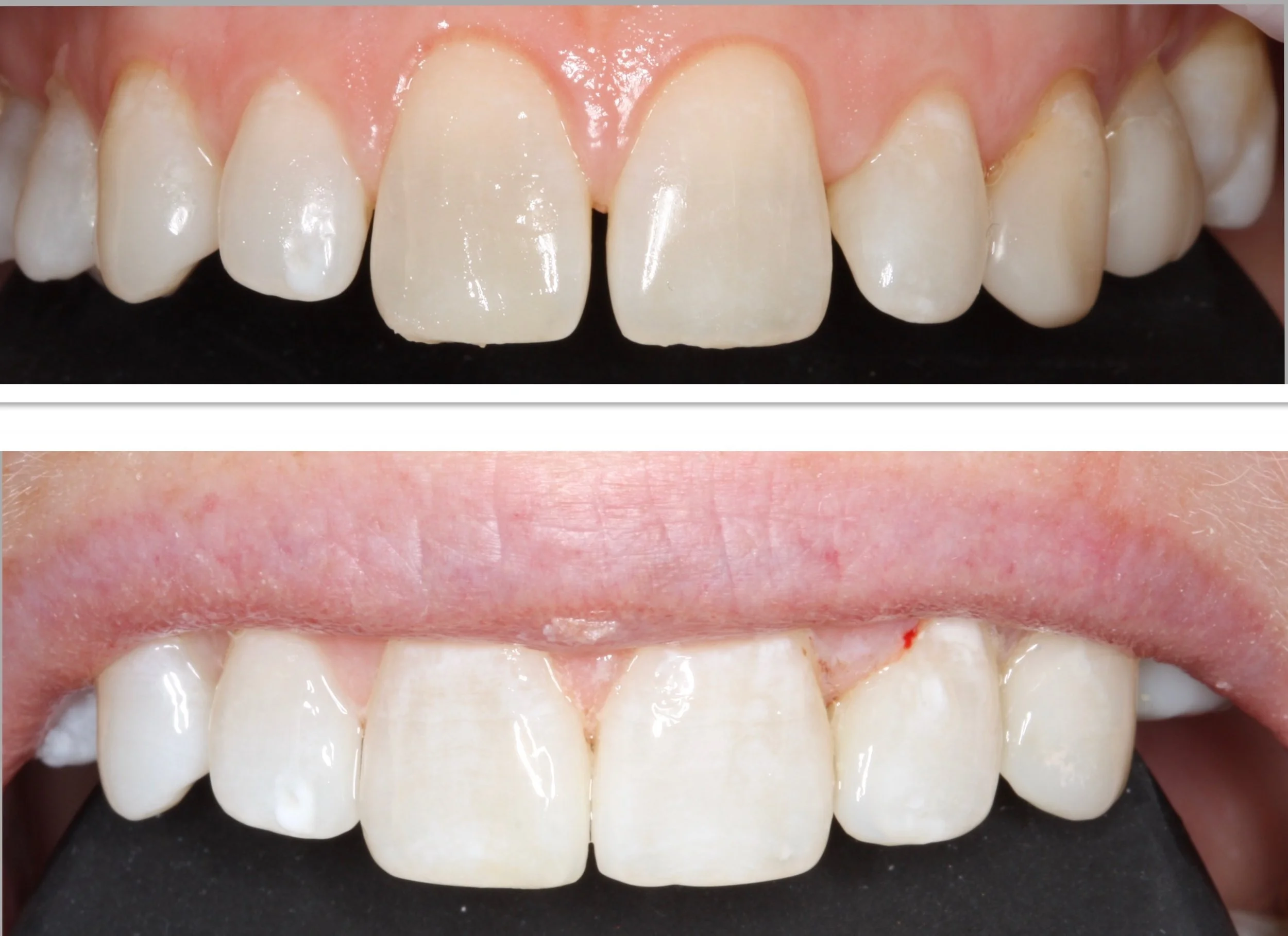
Image gallery of The Ultimate Smile Makeover: Experience The Magic Of Richfield Dental Associates

Image 0 Image 1 Image 2 Image 3 Image 4 Image 5 Image 6 Image 7 Image 8 Image 9 Image 10 Image 11 Image 12 Image 13 Image 14 Image 15 Image 16 Image 17 Image 18 Image 19

Related Post